Orthodontics

Clear aligners

Clear aligners are a modern orthodontic treatment option designed to straighten teeth and correct various dental issues without the visibility and restrictions often associated with traditional metal braces. They are virtually invisible, custom-made, plastic trays that fit snugly over the teeth.

Patients wear each set of aligners for about 1-2 weeks before moving on to the next set in the series, gradually shifting their teeth into the desired position as prescribed by the dentist.

Retainers

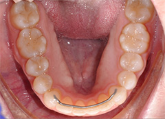
After orthodontic treatment, maintaining your teeth in the jaws in the correct position with retainers is critical. After the first few months of full time retainer wear, most patients will move to night time wear only on their retainers. At O’Reilly Dental, we offer many different retainer options and often adapt these retainers to your individiual needs. The three most common types of retainers you will be able to choose from are:

  1. Removable Hawley Wire Retainers
  2. Removable Clear Plastic Retainers
  3. Bonded Permanent Retainers
Scroll to Top

Request an In-Office Appointment

To request appointment availability, please fill out the form below. Our scheduling coordinator will contact you to confirm your appointment.