General / Restorative Dentistry

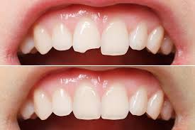
Tooth-colored fillings (composite fillings)

Composite resins, or tooth-colored fillings, provide good durability and resistance to fracture in small- to mid-size fillings that need to withstand moderate pressure from the constant stress of chewing. They can be used on either front or back teeth. They are a good choice for people who prefer that their fillings look more natural.

Composites cost more than amalgam and occasionally are not covered by some insurance plans. Also, no dental filling lasts forever. Some studies show that composite fillings can be less durable and need to be replaced more often than amalgam fillings.

It generally takes longer to place a composite filling than it does for a metal filling. That’s because composite fillings require the tooth be kept clean and dry while the cavity is being filled. Tooth-colored fillings are now used more often than amalgam or gold fillings, probably due to cosmetics. In a society focused on a white, bright smile, people tend to want fillings that blend with the natural color of their teeth.

There are many types of filling materials available, each with their own advantages and disadvantages.  You and your dentist can discuss the best options for restoring your teeth. Composite fillings, along with silver amalgam fillings, are the most widely used today.  Because composite fillings are tooth colored, they can be closely matched to the color of existing teeth, and are more aesthetically suited for use in front teeth or the more visible areas of the teeth.

Reasons for composite fillings:

    • Chipped teeth.
    • Closing space between two teeth.
    • Cracked or broken teeth.
    • Decayed teeth.
    • Worn teeth.

What is a Dental Crown?

Dental crowns, crafted from a variety of materials, are custom-fitted caps designed to restore and strengthen damaged teeth. Whether you have a cracked tooth, a severe decay, or a large filling that needs replacement, crowns can provide durable protection. With CEREC® same-day crowns, a procedure that otherwise requires multiple visits, can be accomplished in just one. 

How do dental bridges work?

A dental bridge has two main parts: the abutment teeth (anchoring teeth) and the pontic (false tooth).

The abutment teeth are the two teeth adjacent to the gap in the mouth. Dental crowns—or tooth-colored caps—are usually placed over and cemented to the abutment teeth to support the pontic (artificial tooth) that is filling the gap. Your abutment teeth can be dental implants (replacement teeth) or natural teeth.

Reasons to get a dental bridge

A dental bridge may be appropriate for you if you have lost a tooth or teeth due to injury, gum disease, or tooth decay. Likewise, you may be a candidate for a bridge if you were born with a congenital dental condition that resulted in missing teeth.

In addition to improving your smile, chewing, and bite, affordable dental bridges in Los Angeles can help to eliminate pain caused by the extra stress placed on your jaw and teeth when you’re missing pearly whites.

Tooth Extraction?

Even though it is generally best to try to preserve your natural teeth, sometimes tooth extractions are unavoidable. For instance, teeth may require removal if they are heavily decayed, are irreparably broken, or have advanced-stage periodontal disease. Teeth might also need to be removed if they are impacted or crowded. At O’Reilly Dental, we are highly skilled in performing tooth extractions safely and gently with the goal of maintaining your dental health.

What happens during a tooth extraction?

During your extraction procedure, Dr. Yangsai Dong will numb your jaw bone, the tooth being worked on, and surrounding gums using an anesthetic. Then, Dr. Yangsai Dong will proceed to remove the tooth.

At this time, you may feel pressure, as the extraction process involves widening your tooth socket to remove the tooth. However, you should never feel pain, as your local anesthetic will numb your pain-transmitting nerves in the area. If you ever feel pain during your extraction procedure, we will immediately administer an extra anesthetic to ensure that you are as comfortable as possible.

Why Choose O’Reilly Dental for Your Oral Care Needs?

At O’Reilly Dental, we are a proud provider of top-of-the-line dental care services in Schaumburg, IL. With our cutting-edge equipment and seasoned doctors, you can be confident that you’ll receive quality care every time you visit our office for a dental cleaning, extraction, or other oral care procedure. Get in touch with us to learn more about our services and set up an appointment today.

Wisdom Tooth Extractions in Schaumburg, IL

Why Do We Remove Our Wisdom Teeth?

There can be a number of reasons that we remove our wisdom teeth, but the overall reason is that we as modern humans do not have any immediate need for them. Sometimes, the wisdom tooth will come in in a way that is not harmful to us, so it will not have to be removed. The most common reasons for removing a wisdom tooth are:

    • Impacted – The patient’s jaw is not large enough to fit the tooth and is unable to break through the gums
    • Partly showing – The tooth may only partly break through the gums and therefore is unable to seal correctly with the gums. This opens up a route for infection and is dangerous to the patient.
    • Angle – Some wisdom teeth can come in at an awkward angle, which can cause pain to the patient, or damage other teeth.

Root canal therapy

Root canal therapy helps to maintain the structure of a tooth that’s become infected or has had its inner pulp exposed. Each of your teeth has an inner pulp which houses the blood supply and nerves. If cavities are left untreated, the decay will eventually reach down into the pulp and cause it to become infected. In this case, a root canal is needed to remove the infected pulp and save the tooth from complete extraction.

Why are Root Canals needed?

There are two main reasons for why a root canal would be needed. The first and most common reason is because the tooth has become severely decayed. The decay might have reached the innermost pulp and infected it. The second reason for needing a root canal is because a tooth has broken or fractured to the point of exposing the sensitive pulp.

Who’s a good candidate for Root Canals?

To determine if you need a root canal, we’ll perform an exam of the tooth and take x-rays. Just because your tooth is bothering you or is sensitive doesn’t mean that a root canal is always needed. Only an exam and x-ray can determine if the procedure is needed. The majority of patients who need a root canal will benefit from the procedure.

What happens during Root Canals?

First, we administer a local anesthetic to numb the area. We may separate the tooth using a rubber dental dam. The decay is removed from the tooth and the innermost pulp is removed. The canals of the tooth’s roots will be cleaned out using special instruments and then these canals are filled with special material. The hole that was made in the tooth is filled with simple filling material and cured into place. It is not uncommon to need a crown shortly after a root canal, so this is something to consider when having root canal therapy done.

If you think you might need a root canal or want to learn more about the procedure, call us today and one of our staff members can further assist you.

Emergency dental care

A dental emergency can happen anytime-from a cracked tooth while eating to sudden swelling caused by infection. These problems don’t just cause dental injuries pain-they can also threaten the health of surrounding teeth if ignored. At O’Reilly Dental, we offer urgent care designed to relieve discomfort quickly and prevent further complications.

If you’ve been searching online for “emergency dentist near me,” our team is here with prompt solutions.

Why Choose O’Reilly Dental For Emergency Dentistry In Schaumburg, IL?

There are many reasons why O’Reilly Dental is the right choice for emergency dentistry in Schaumburg, IL. Here are just a few:

  • Experienced and Compassionate Team: Our team of dental professionals has years of experience providing emergency dental care. We understand the importance of compassionate care during stress and pain, and we work hard to ensure that our patients are comfortable and well-cared for.
  • Comprehensive Services: We provide a wide range of emergency dental services, including toothache relief, broken tooth repair, lost filling or crown repair, abscess treatment, and gum disease treatment. Our team is equipped to handle any dental emergency that comes our way.
  • State-of-the-Art Facility: Our dental clinic has the latest technology and equipment to ensure optimal treatment outcomes. We use digital x-rays, intraoral cameras, and other advanced tools to provide accurate and efficient care.
  • Personalized Treatment Plans: We understand that every patient is unique, so we develop personalized treatment plans to meet your specific needs and preferences. We work closely with our patients to ensure they receive the care they need to restore their oral health. Convenient Location: Our dental clinic is located in Schaumburg, IL, making it easy and convenient to access emergency dental care when needed.

Broken tooth repair

A broken tooth can stop you in your tracks. The pain, shock, and potential complications can leave you feeling anxious and unsure of what steps to take. Fortunately, residents of Schaumburg, IL have access to expert care that can restore both function and appearance quickly. At O’Reilly Dental, we specialize in broken tooth repair in Reno with advanced techniques and compassionate care. Whether it’s a small chip or a severe fracture, we’re here to help you get your smile back on track.

What Causes a Tooth to Break?

Broken teeth are more common than you might think—and they can happen to anyone, at any age. While some breaks are sudden and traumatic, others occur due to long-term wear or decay.

Common causes include biting into hard foods like nuts, ice, or hard candies that exceed the pressure your tooth can handle; tooth decay that weakens enamel and makes the tooth more susceptible to breakage; accidents and trauma, such as falling, being hit during sports, or clenching your teeth during stressful moments; old fillings that can expand or contract over time, causing cracks in the surrounding enamel; and bruxism, or chronic teeth grinding, which slowly wears down your enamel and increases the risk of fractures.

No matter the cause, a broken tooth should always be taken seriously—even if you’re not feeling pain immediately.

Emergency Steps After Breaking a Tooth

Time is critical when dealing with a broken or chipped tooth. Taking the right steps right away can prevent infection, reduce pain, and preserve your tooth.

  1. Rinse your mouth with warm salt water to keep the area clean and reduce the risk of infection.
  2. Use a cold compress on the outside of your cheek to minimize swelling and discomfort.
  3. Avoid chewing on the broken tooth, especially with sticky, hot, or cold foods that could cause further damage.
  4. Protect jagged edges using dental wax or sugar-free gum to prevent cutting your tongue or cheeks.
  5. Save any broken pieces in a clean container with milk or saline if possible. Your dentist might be able to reattach them.

Most importantly, call our O’Reilly Dental office right away to schedule an emergency dental visit. Delaying treatment could result in nerve exposure, infection, or permanent damage.

Cracked tooth treatment

A cracked tooth is a tooth that has developed a break or fracture. Cracks can be very small and harmless, or more serious and painful.

Some cracks are easy to miss, but early treatment can make a big difference.

Are there different types of cracked teeth?

Yes. Teeth can crack in several ways.

  • Cracked tooth: A crack starts on the biting surface and travels down towards the root. Sometimes it goes below the gumline.
  • Craze lines: Tiny surface cracks in the enamel. They are common, painless, and do not need treatment.
  • Cracked cusp: Affects the pointed part of a back tooth. This area can break away and may cause pain when biting.
  • Split tooth: Often the result of an untreated crack. Over time, the crack spreads and the tooth splits into separate pieces.

Dental onlays

If you have damaged or decayed teeth, onlays may be the perfect solution to restore your smile. Onlays are custom-made dental restorations designed to fit over the top of damaged or decayed teeth to provide protection and improve their appearance. At O’Reilly Dental in Schaumburg, IL, the experienced dental professionals offer onlays to help you achieve a healthy, beautiful smile.

What are Dental Onlays?

Onlays are custom-made dental restorations that are designed to fit over the top of damaged or decayed teeth. They are made from various materials, including porcelain, composite resin, and gold, and are moulded to fit your teeth precisely. Onlays are used to:

  • Repair large cavities or fillings.
  • Strengthen damaged or decayed teeth.
  • Improve the appearance of stained or misshapen teeth.

There are many benefits to choosing onlays to restore your smile. Some of the key benefits include:

There are many benefits to choosing onlays to restore your smile. Some of the key benefits include:

1. Strength and durability: Onlays are made from solid and durable materials that provide protection and improve the strength of damaged or decayed teeth.
2. Natural-looking results: Onlays are custom-made to match the colour and shape of your natural teeth, making them look natural and beautiful.
3. Quick and easy: Placing onlays is quick and easy and can typically be completed in just one or two appointments.

The Onlays Procedure at O’Reilly Dental in Schaumburg, IL

The process of placing onlays at O’Reilly Dental in Schaumburg, IL, typically involves the following steps:

  1. Consultation: During your consultation, the team at O’Reilly Dental will assess your dental needs and determine if onlays are the right solution for you.
  2. Preparation: If onlays are the right solution for you, the team will prepare your tooth’s damaged or decayed area for the onlay. This may involve removing any damaged or decayed tooth structure and shaping the place to make room for the onlay.
  3. Impression: Next, the team will take an imprint of your teeth to create a custom-made onlay that will fit your tooth precisely.
  4. Placement: Once the onlay is ready, the team will place it over the damaged or decayed area of your tooth and secure it.

What Are Dental Inlays?

Dental inlays are custom-made indirect restorations designed to repair damage to the chewing surface of molars or premolars, specifically fitting within the cusps (the raised points) of the tooth without extending beyond them. Crafted in a specialized dental laboratory using precise impressions of your tooth, they are then bonded securely in place by your dentist—creating a snug, seamless fit that acts like a “puzzle piece” for your tooth structure.
Unlike direct fillings, which are shaped on-site in your mouth, inlays are fabricated off-site to ensure meticulous precision, superior durability, and a natural appearance that blends effortlessly with your surrounding teeth.

Why Choose Dental Inlays? Key Benefits

  • Preserve Natural Tooth Structure: Inlays are a conservative restoration option, removing only decayed or damaged tissue and preserving more of your healthy tooth than crowns or even some traditional fillings. This minimally invasive approach helps maintain your tooth’s strength for years to come.
  • Superior Durability: Made from high-quality materials like porcelain, ceramic, composite resin, or gold, inlays are built to withstand the daily pressure of chewing and biting—lasting 10–15 years or longer with proper oral care (even up to 20+ years for gold or ceramic options). Unlike fillings that can chip, wear, or leak over time, inlays offer long-lasting stability.
  • Natural Aesthetics: Tooth-colored materials (porcelain, composite resin, or ceramic) mimic the translucency, color, and texture of your natural teeth, ensuring your restoration is virtually undetectable. Say goodbye to unsightly metal fillings and hello to a seamless, confident smile.
  • Precise Fit & Protection: Custom-fabricated to match the exact contours of your tooth, inlays create a tight seal that prevents bacteria from entering the cavity, reducing the risk of secondary decay. Their smooth surface also makes oral hygiene easier, minimizing plaque buildup.
  • Restored Function: Inlays restore the full chewing surface of your tooth, distributing bite force evenly to prevent stress on remaining tooth structure and eliminating discomfort while eating or speaking.
Scroll to Top

Request an In-Office Appointment

To request appointment availability, please fill out the form below. Our scheduling coordinator will contact you to confirm your appointment.